手術紹介
手術について

手術は年間1,000症例を超え、約半数が避妊去勢手術で、約半数がその他外科手術を行っています。
門脈シャントや椎間板ヘルニア、骨折手術をはじめ、一般外科の紹介手術も多く行っています。
最近の外科手術では、CT、MRI検査が必要になる症例も多く、様々な外科機材により、より良い手術が可能となりますので、その導入を積極的に行っています。
門脈シャント(門脈体循環シャント)
当院での門脈シャントの診断
門脈体循環シャントは、先天性門脈シャントと多発性(二次性)門脈シャントのふたつのタイプがあります。
血液検査、レントゲン検査、エコー検査などで門脈シャントを疑った場合、まずCT検査により、先天性門脈シャントの有無、形態について確定診断を行います。
先天性門脈シャントの場合、手術により多くの症例が改善できるので、後日、手術を行います。
先天性門脈シャントが認められず、多発性門脈シャントを認めるか、疑った場合、あるいは門脈シャントを認めなかった場合は、その原因の肝臓疾患について診断するために、CT検査に続けて腹腔鏡により肝臓の観察や肝生検を行い組織診断を行うようにします。
(腹腔鏡下肝生検)
当院での門脈シャントの手術
デジタルX線透視装置(Cアーム)を使用し、より明瞭な門脈造影を行い、適切なシャント血管に対する処置を選択し、その閉鎖を行います。(手術件数 404症例 2025年10月現在)
(シャント血管閉鎖 前)
(シャント血管閉鎖 後)
椎間板ヘルニア
近年、ミニチュアダックスフンドの増加により、この病気は急増しました。その他の犬種でも発症し、疼痛症状から、重症では頚部ヘルニアの場合、前後肢の麻痺、胸腰部ヘルニアの場合、後肢の麻痺という神経障害を発症します。
当院では、CT・MRIの画像診断から、手術を行っています。(手術件数 年間約100症例)
当院での椎間板ヘルニアの手術
手術は、手術用顕微鏡を用いて行い、骨切削には、超音波骨メスを用い、より安全で精度の高い手術を行っています。
骨切削
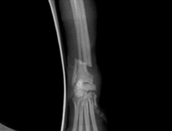
骨折
骨折手術にはプレート固定法、創外固定法、ピンニング法、インターロッキング法と各器具があり、骨折の状態により、手術法を検討し実施しています。
当院での骨折の手術症例
癒合不全
創外固定
腹腔鏡・避妊
腹腔鏡手術は人の医療では広く行われていますが、専用の器具、機材とトレーニングが必要なため、動物医療ではまだ一般的ではありません。しかしながら、開腹手術に比べ、傷が小さく、身体への負担も少なく済むため、検査や手術に徐々に利用されはじめています。
腹腔鏡下による避妊手術風景
避妊手術の場合は、腹部の3箇所に0.5~1.0cmほどの切開をして、そこから特殊な器具とスコープを差し込み、高性能なカメラが捉えた映像を見て器具類を操作し手術を行います。


COVIDIEN ForceTriadエネルギープラットフォーム
腹腔鏡下で血管の閉鎖・切除を行う最新の装置です。この装置を用いることでより安全で信頼性の高い腹腔鏡下での手術が可能となりました。


この手術ができない場合もあります。
- 呼吸器、循環器の病気を持っている場合
- 発情出血が認められる時期や偽妊娠で乳腺が腫れている時期
- 卵巣や子宮の病気(卵巣腫瘍、子宮水腫や子宮蓄膿症)を持っている場合
スコープで見て初めて分かる卵巣子宮の異常もあり、卵巣と子宮の状態によっては、開腹手術に切り替える場合や、卵巣と子宮を摘出する一箇所の切開を少し大きくする場合があります。
手術を行う際には術前検査(血液検査、レントゲン検査)が必要となります。
腹腔鏡下での避妊手術はご希望の方に実施します。
希望される場合は、事前に診療を受けられるようお願いいたします。
ご不明な点は、当院のスタッフにお気軽にお尋ねください。
腹部の3カ所に
1.0cmほどの切開をします。
ご予約・お問い合わせ
なりた犬猫病院へのご予約は、
お電話かWEBフォーム、
お問い合わせはお電話より承っております。
お気軽にご連絡くださいませ。
| 診療時間 | 月 | 火 | 水 | 木 | 金 | 土 | 日・祝 |
|---|---|---|---|---|---|---|---|
| 9:00~12:00 | ○ | ○ | ○ | ○ | ○ | ○ | ○ |
| 17:00~19:30 | ○ | ○ | 休診 | ○ | ○ | 休診 | 休診 |
※ 水・土・日(祝)の午後は休診となります。
受付終了時間 月~金:19:00、土・日・祝:11:30


